Kor Deep Bleaching

A few years ago we switched our bleaching system to KoR Whitening. I changed for two reasons. First, this system allows us to treat cases such as fluorosis spotting and tetracycline staining more conservatively than other options such as crowns or veneers. And second, I wanted to use a system that was predictable and effective at whitening patient’s teeth. (Many systems claim to have excellent results, but I have found most fall short of what patients want.) Many people in the dental profession consider the KoR Whitening system to be the most effective system available, and I have not been disappointed since we made the switch. It has exceeded my expectations.

There are four levels of bleaching options in the KoR system, for average cases to complex cases: KoR Home, KoR Max, KoR Ultra, and KoR Ultra-T.

KoR Home

This is the what we use for most cases. We make custom bleach trays for the patient and the patient uses them overnight for two weeks.

Case 1

This was a women in her early 20’s. She experienced sensitivity after three days bleaching, but since she was happy with the result, she stopped after the three days. Usually patients use it for the full two weeks, but this was a good example of great results achieved in a short period of time.

(A note on sensitivity: Sensitivity during bleaching is a common side effect. It goes away after the bleaching. It is less common with KoR than with other systems as the system doesn’t use preservatives that commonly cause sensitivity. When sensitivity does occur, there are several things we can do to lessen the effect and usually patients continue to bleach once we address the problem.)




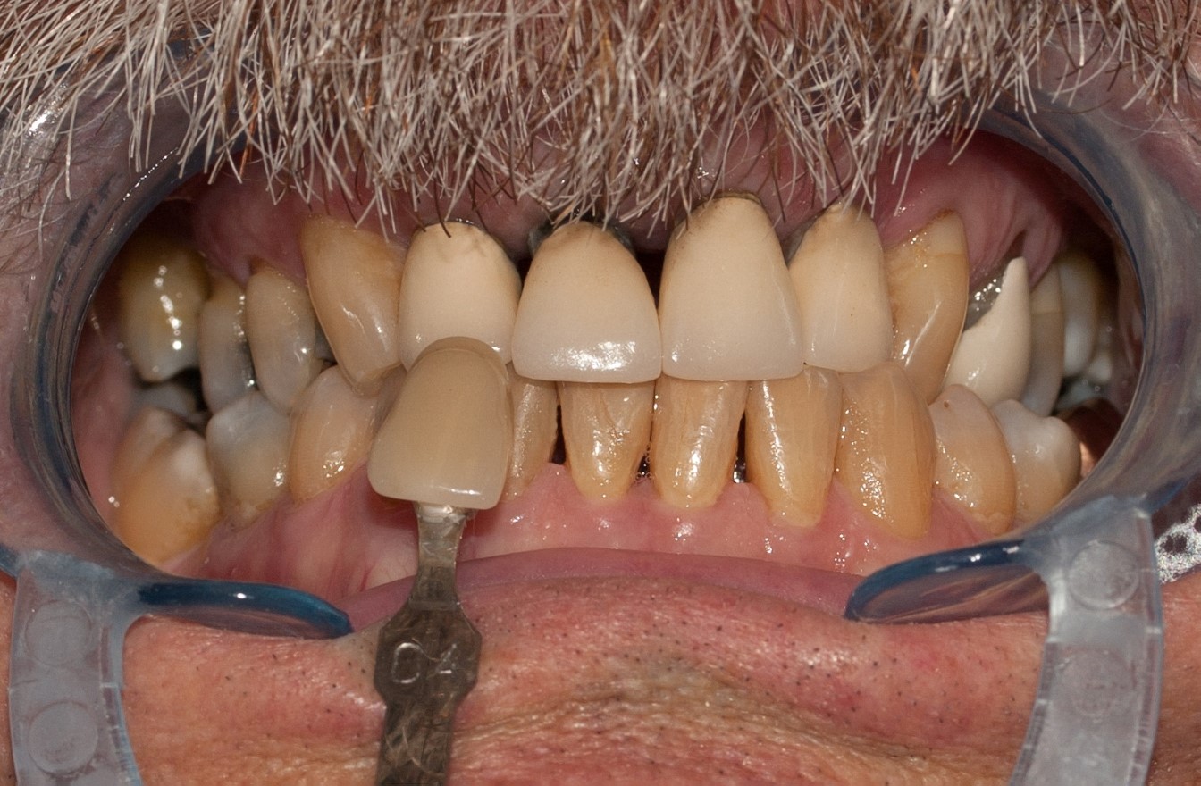
Case 2

This was a man in his 60’s. He needed an upper front tooth extracted, a bridge placed, and a single crown replaced. The reason the upper four teeth are whiter than the rest is that they were crowns that were placed in his 30’s. Our teeth naturally darken with time, so this is why these crowns were much lighter than the rest of his teeth. We together decided to bleach his other teeth before restoring the upper four teeth.




Kor Max

Kor Max is similar to KoR Home with two weeks of at-home bleaching. The difference is that there are two additional office visits that accelerate the effect, one appointment at the front end of treatment, and one appointment at the tail end. This brings very white results in just two weeks of treatment time. Similar results with the KoR Home system can be obtained, though it takes more bleach gel and more weeks of bleaching to achieve this.

Case 1

This patient is in her 60’s. This is a good example of how old tooth colored fillings can darken with time. In this patient’s case, the fillings darkened more than her teeth. We decided together to first whiten her teeth, and then to replace her old, dark fillings to match the color of her teeth. This was my first case using Kor Max. Both she and I were very happy with the result!




KoR Ultra

KoR Ultra is similar to Kor Max except that the bleaching is done for 4-6 weeks instead of just two weeks. This level of treatment is most often used for fluorosis cases. (Prior to the KoR System, dentists did not bleach fluorosis cases because the white, porous areas would become much more white while the background would not lighten as much. This would lead to high contrast between the white spots and the background. With KoR Ultra, the background lightens so much that overall contrast lessens. You can still slightly see the white spots, but they are relatively less visible.)

Case 1

Note the white spots primarily on the upper four front teeth. After the bleaching, they are still somewhat visible, but since the rest of the tooth structure gets very white, they are less noticeable.




Case 2

This was a more severe case of fluorosis. You can see the white spots as well as some brown spots and staining from the fluorosis. The top two front teeth have some old tooth colored fillings partially in place and this is contributing to the dark, yellow color. In addition the front teeth had been broken for some time. The patient and I decided to first bleach his teeth using KoR Ultra and then we restored the top two teeth with tooth colored fillings (bonding).




KoR Ultra-T

KoR Ultra-T is used for tetracycline staining cases. If a child is given the antibiotic tetracycline when their teeth are developing, they often get severe brown and gray staining of the teeth. These stains are internal and permanent.  Prior to KoR Ultra-T, the only esthetic option for these patients was to have multiple crowns or veneers placed. These options involve cutting the teeth and they are also very expensive.

Case 1

This woman was in her 60’s. She had this tetracycline staining since she was a child. She was a great patient to work with as she was very consistent using the bleaching gel as directed. The “After” photo was after 10 weeks of bleaching.



If you think you may benefit from teeth whitening, please ask us about it at your next appointment or give a us a call. We are happy to answer any questions you have.



— Ken Wylie, DMD